El kit PD-L1 22C3 de Dako Agilent es actualmente el único aprobado por la FDA para seleccionar pacientes candidatos a terapia con Pembrolizumab para cáncer de mama triple negativo, utilizando la plataforma validada Autostainer Link 48.

A principios de septiembre, el Gobierno de Chile anunció que la primera inmunoterapia disponible para el Cáncer de Mama Triple Negativo en la red pública será gratuita para todas las mujeres que lo requieran; dando un tremendo avance en el acceso a tratamientos oncológicos de última generación.

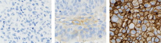
En este escenario, el diagnóstico preciso y oportuno es fundamental para determinar qué pacientes serán candidatas para recibir Pembrolizumab. El kit PD-L1 22C3 es una prueba de laboratorio que ayuda a los médicos a evaluar la interacción entre las células tumorales y el sistema inmune del paciente. Esto es así pues la proteína PD-L1 expresada por células tumorales actúa como inhibidor de la respuesta inmunológica, posibilitando la progresión del tumor. Para detectar esto, esta prueba tiñe de forma selectiva las células que presentan PD-L1 permitiendo evaluar su expresión. La ejecución del análisis se realiza mediante la plataforma Autostainer Link 48 que garantiza estandarización, trazabilidad y calidad diagnóstica.

Si el porcentaje evaluado de PD-L1 es igual o superior al estándar marcado como positivo para esta indicación clínica, el médico tratante puede indicar el tratamiento con Pembrolizumab, el cual actúa como inhibidor de la supresión de la respuesta inmune que genera el tumor con PD-L1.

Daniel Tapia, Especialista de productos de GrupoBios aclara que además de la Agencia Federal de Alimentos y Drogas de Estados Unidos, conocida como FDA; el kit PD-L1 22C3 cuenta con la certificación CE IVDR de la Unión Europea. “Al utilizarse en la plataforma validada Autostainer Link 48, asegura diagnósticos confiables que permiten seleccionar a pacientes con cáncer de mama triple negativo para terapias innovadoras, aumentando de manera significativa sus posibilidades de tratamiento y sobrevida”, afirma.


# BreastCancer #CancerMama #PrevenciónCancer #FDA #Pembrolizumab

Utilizamos cookies propias y de terceros con fines analíticos y para adaptar el contenido del sitio web a tus preferencias, incluido a través del análisis de tus hábitos de navegación. Puedes aceptar todas las cookies pulsando “Aceptar”. Ley Nº 19628